Dalam kehidupan sehari-hari dalam berpraktek sebagai dokter utamanya di IGD tentu kita sering melakukan permintaan pemeriksaan rontgen thorax. Interpretasi rontgen thoraks merupakan kompetensi 4A bagi dokter umum.
Berikut ini ringkasan singkat cara baca rontgen thorax :
Alat dan Bahan
- siapkan contoh film rontgen thorax
- lightbox
Teknik pemeriksaan
- Redupkan cahaya ruangan
- Pasang Film pada lightbox
- Film lama / sebelumnya diperlukan untuk membandingkan dengan hasil film terbaru
- Cek identitas nama, tanggal pemeriksaan, dan diagnosis pasien
- Identifikasi jenis film : AP/PA/Supine/Erect/Lateral
- Nilai kualitas film
- Nilai adanya tube atau kabel yang terpasang pada pasien
- Nilai jaringan lunak dan tulang
a. Leher, supraclavicula, axilla, dinding dada, payudara, abdomen, dan udara lambung
b. Humerus, regio glenohumeral, scapula, clavicula, vertebrae, costae, dan sternum - Mediastinum
a. Nilai bagian atas, tengah, dan bawah anterior/ medial/ posterior
b. Nilai ukuran, bentuk, dan densitasnya - Jantung
a. Ukuran : hitung CTR (evaluasi AP/PA, elevasi diafragma saat inspirasi, adanya massa)
b. Bentuk : Atrium, Ventrikel
c. Siluet - Diafragma : nilai ukuran dan sudut costophrenicus
- Nilai pleura dan fisura
- Paru : nilai trakea dan bronki, hilum, pembuluh darah, parenkima, apeks, bagian di belakang jantung.
Interpretasi
1. Kualitas film
Pada film yang baik dapat terlihat 10 costae posterior, 6 costae anterior dan vertebrae thoracal
Clavicula sejajar dan sternum tepat berada di tengahnya.
2. Diafragma
Normalnya garis diafragma tajam, hemidiafragma kanan sedikit lebih tinggi dibandingkan kiri,
Udara bebas di bawah garis diafragma –> tanda peritonitis
tenting –> fibrosis paru
elevasi berlebihan –> hepatomegali/splenomegali
3. Sudut Costophrenicus
sudut tajam –> normal
sudut tumpul –> efusi pleura
4. Hilus
Pembesaran hilus unilateral dapat disebabkan oleh infeksi (TB, viral, bakteri), tumor dan vaskular (aneurisma atau stenosis arteri pulmonal)
Pembesaran hilus bilateral dapat disebabkan oleh sarkaidosis, infeksi, tumor, hipertensi arteri pulmonal.
5. Mediastium
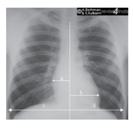
6. CTR (Cardio Thoracic Ratio)
rumus CTR = (a+b)/(c+d)
nilai normal CTR <= 50%
7. Kelainan ukuran jantung
Kelainan kontur jantung dapat disebabkan oleh atrial atau ventrikular septal defect, atau efusi pericardial, atau aneurisma.
Kontur jantung yang tidak jelasatau hilang batasnya dapat disebabkan oleh penyakit paru disekitar jantung.
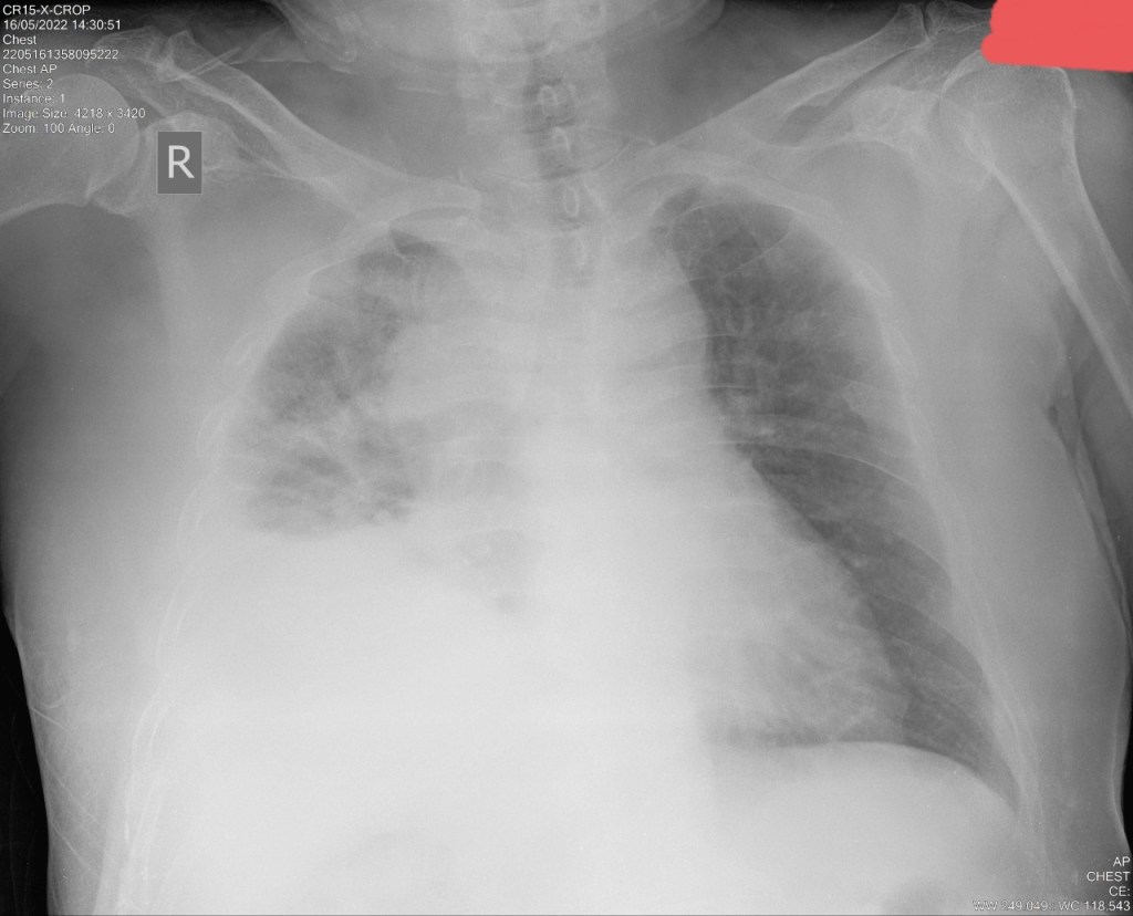
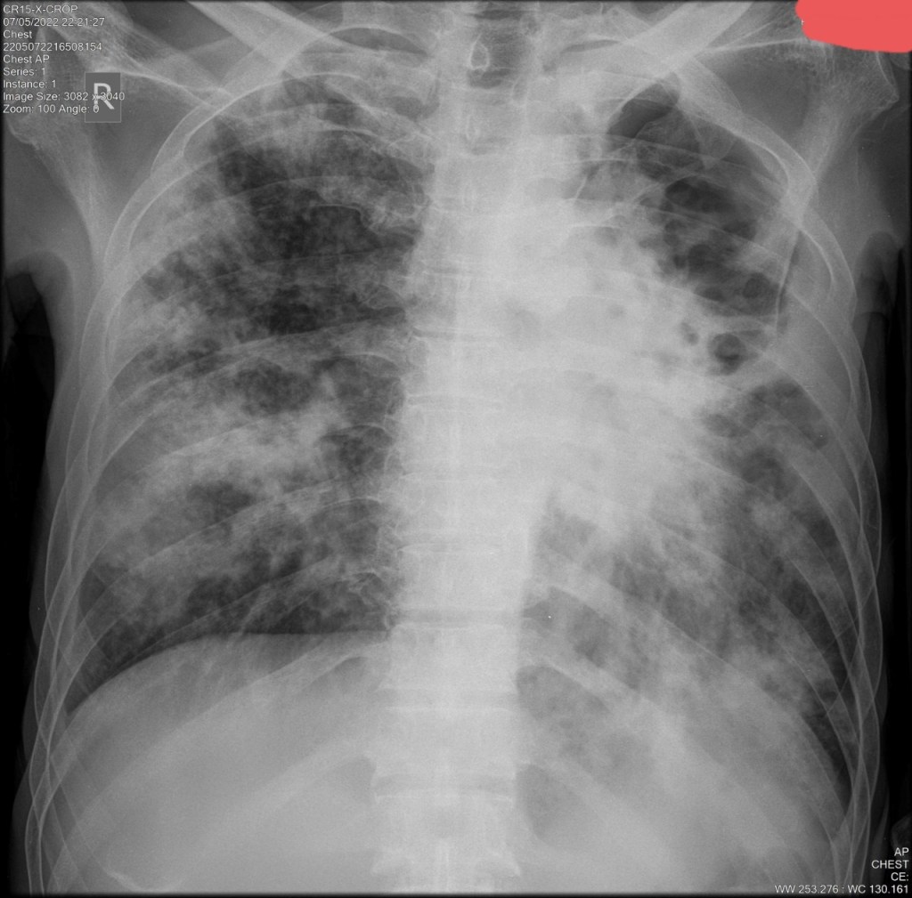
8. Paru
Abnormalitas :
a. Konsolidasi
– Akut : pneumonia, aspirasi, infark, edem
-Kronik: limfoma, pneumonia, sarkoidosis
-Batwing: edema, pneumonia bakterialis, PCP (Pneumonia Pneumocystis), pneumonia viral
b. Atelektasis
-Resorpsi : mukus, tumor, benda asing
-Relaksasi: efusi pleura, pneumothorax
c. Nodul-Massa
– Nodul < 3cm : granuloma, Ca Paru, metastasis, hemartoma
-Massa> 3 cm : Ca Paru, granuloma, hamartoma
– Massa multiple: infeksi. metastasis, sarkoidosis, wegner

Sumber :
IDI, 2017. Panduan Keterampilan Klinis Bagi Dokter di Fasilitas Pelayanan Primer.



